English | Português | Español | Français | Deutsch | Русский

Faq científico

Imágenes y texto original de Alcor en http://www.alcor.org/sciencefaq.htm


"Parece que ninguna crítica a la criónica, supuestamente científica, ha abordado las verdaderas cuestiones subyacentes o se ha basado en un conocimiento de ellas"The Cryobiological Case for Cryonics (1988)

Selección de artículos que respaldan a la criónica

Carta abierta de científicos y académicos sobre la criónica


Pregunta: ¿Cómo puede tener carácter científico algo que no se puede demostrar?

Respuesta: La criónica es una proposición tecnológica, no un nuevo fenómeno natural. Su viabilidad puede examinarse utilizando ciencia conocida exactamente igual a como se probó teóricamente posible el vuelo espacial décadas antes de que se pudiera demostrar realmente.


P: ¿Qué ciencia respalda a la criónica?

R: La criónica es un intento de preservar la base física de la mente humana. La criónica no es una creencia por la que se puede congelar personas y revivirlas con algún tipo de tecnología futura. La ciencia que proporciona el mayor apoyo directo es la criobiología neural. Si el cerebro puede preservarse suficientemente bien como para retener la personalidad y la memoria, entonces reestablecer la salud es un problema de ingeniería a largo plazo.

Con frecuencia se cita esta dependencia de una tecnología futura como evidencia de que la criónica está basada en la fe y no en la ciencia. Este es un falso argumento ya que la tecnología necesaria es previsible e incluso ampliamente anticipada en otros campos. Estas tecnologías no son diferentes a los avances esperados en materiales y sistemas de control asumidos por los primeros estudios teóricos del vuelo espacial.

La cuestión científica clave es saber si la información esencial de la personalidad puede preservarse con la tecnología actual. Los críticos nunca tratan esta cuestión a pesar de que en la actualidad es el componente esencial de la criónica.


P: ¿Puede dejar de funcionar el cerebro y no perder información?

R: Es un hecho bien conocido que la memoria a largo plazo está codificada en cambios físicos y químicos duraderos.

"Sabemos que la memoria secundaria no depende de la actividad continua del sistema nervioso ya que el cerebro puede estar totalmente inactivo por enfriamiento, anestesia general, hipoxia, isquemia o por cualquier otro método y los recuerdos que han sido almacenados previamente se retienen cuando el cerebro se activa otra vez. Por tanto, la memoria secundaria debe resultar de alguna alteración física o química real de las sinapsis".— Pág. 658, Textbook of Medical Physiology by Arthur C. Guyton (W.B. Saunders Company, Philadelphia, 1986).

No sólo se puede sobrevivir a la perdida de actividad cerebral sino que a veces es incluso beneficiosa para la prevención y el tratamiento de lesiones isquémicas. Se pueden encontrar más información y referencias en el artículo Medical Time Travel.


P: ¿Aporta algo a la criónica la tolerancia natural al hielo de algunos animales?

R: Mientras que los animales que sobreviven parcialmente congelados ilustran el principio de que la actividad cerebral se puede detener y luego reemprender, la condición de estos animales es bastante diferente de la criónica. Los animales que hibernan no se someten a temperaturas mucho más bajas de 0º C y aún contienen líquido entre los cristales de hielo. La criónica implica una deshidratación mas extrema y la completa solidificación a temperaturas criogénicas. Con la posible excepción de algunos insectos y nemátodos, ningún animal puede sobrevivir de forma natural a las temperaturas requeridas en la criónica. La tecnología utilizada se obtiene de los métodos de almacenamiento criogénico de tejidos y no de la tolerancia natural al hielo.


P: ¿Qué datos apoyan la criopreservación del cerebro?

R: Antes de 1990, las estimaciones del daño provocado en el cerebro por congelación se basaban principalmente en información indirecta. Esta información incluía numerosos estudios que mostraban la recuperación de células neuronales y el metabolismo de las sipnasis después de la congelación a temperaturas criogénicas con una modesta crioprotección. Incluso se sabía que cerebros enteros recuperaban brevemente la actividad eléctrica normal después de congelarse a -20º C durante cinco días y con glicerol como crioprotector.

En 1995, se publicó en Internet y en una publicación criónica un estudio mostrando la excelente preservación de la estructura de un cerebro después de una perfusión 7,4 Molar (68% w/v) de glicerol congelado a -90º C . Esencialmente, el estudio reproducía en perros los mejores protocolos usados en humanos hasta ese momento. Aunque el enfriamiento fue de sólo -90º C, no podría esperarse ninguna formación de hielo extra durante un enfriamiento a la temperatura de nitrógeno líquido (-196º C) ya que la solución restante sin congelar es demasiado concentrada como para congelarse.

El glicerol a 70% w/v es casi incongelable. Esto significa que después de formar cavidades de hielo, más o menos dispersas, la solución concentrada restante se vitrifica (se solidifica sin congelarse) cuando se enfría por debajo de la "temperatura de transición vítrea". La mayor parte del tejido se solidifica en una matriz vítrea con un daño mínimo, tal y como se muestra en las micrografías siguientes:

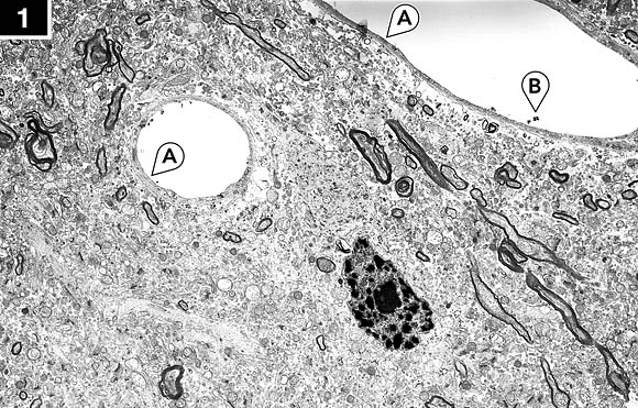
Tejido cerebral congelado y descongelado utilizando glicerol: Típica apariencia de materia gris a 6700 aumentos. Nótense intactas las células endoteliales capilares (A) y las partículas de carbón (B) en el lumen capilar. La apariencia general del neuropil y de los axones y neuronas es excelente.

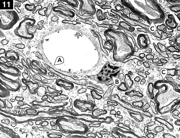
Tejido cerebral congelado y descongelado utilizando glicerol: La materia blanca del cuerpo calloso a 6700 aumentos. Nótese la excelente preservación de los capilares (A) y las membranas de plasma celular endotelial. El núcleo (B) muestra la típica perdida o reorganización del nucleoplasma; esto se ve con más frecuencia en cerebros congelados y descongelados que en cerebros sólo perfundidos con glicerol y fijados sin congelar. Varios axones (C) muestran el típico agrietamiento del axioplasma y alteración en la estructura de mielina. El incremento de espacio libre entre los axones y otras estructuras es el resultado de la deshidratación inducida por el glicerol.

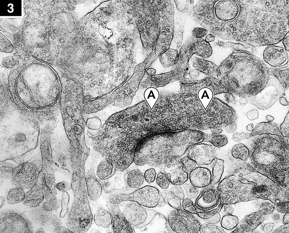
Tejido cerebral congelado y descongelado utilizando glicerol: Una sinapsis en la materia gris del hipocampo a 40.200 aumentos. La unión presináptica contiene pequeños paquetes de neurotransmisores (A) visibles como gránulos. Nótese la apariencia quebradiza general tanto de la membrana sináptica como de las estructuras adyacentes del neuropil. En todas las muestras examinadas se observó este grado de preservación a nivel sináptico.

La áreas afectadas por hielo y otros daños pueden verse en el estudio original. Además, las altas concentraciones de glicerol tienen efectos tóxicos desconocidos. Todavía se desconoce el efecto, si tiene alguno, de esta toxicidad en la bioquímica de la memoria almacenada.

En 2001 Alcor alternaba el glicerol con una combinación propia de criprotectores diseñada para eliminar completamente la formación de hielo, ideal para conseguir la vitrificación del cerebro completo. En este momento (2005), Alcor dispone de otra combinación de crioprotectores para vitrificación llamada M22. La toxicidad del M22 es considerablemente más baja que la del glicerol al 70%. Riñones completos perfundidos con M22 y enfriados hasta -45ºC se han transplantado con éxito. En esta charla y en esta publicación se muestran micrografías documentando la vitrificación del cerebro con M22.


P: ¿No es cierto que la vitrificación sólo sirve para pequeñas muestras de tejido y altas tasas de enfriamiento?

R: No. Si se reemplaza el agua con un crioprotector la vitrificación puede darse a cualquier escala y velocidad de enfriamiento. El primer artículo que propuso una aproximación moderna a la vitrificación incluye una fotografía de un órgano vitrificado (riñón de conejo). El primer artículo mostrando una vitrificación satisfactoria de células vivas utilizó una tasa de enfriamiento de sólo 20 grados por minuto. Se han publicado otros artículos estudiando la vitrificación de volúmenes de hasta 1,5 litros.

Es cierto que la vitrificación seguida de un retorno al metabolismo normal sólo puede darse en la actualidad con pequeñas muestras de tejido como vasos sanguíneos. La transferencia lenta de calor a órganos grandes causa una acumulación de efectos tóxicos con la tecnología actual. A pesar de todo, la estructura del tejido puede preservarse. Por tanto, la vitrificación de Alcor es una vitrificación morfológica que preserva la estructura y gran parte de la bioquímica cerebral aunque no la suficiente como para un retorno espontáneo al metabolismo normal. En el futuro se requerirá la reparación o sustitución de las moléculas alteradas en el proceso de vitrificación.

Solidificación sin congelación. Dos litros de la solución M22 enfriados hasta que se vitrifica como un sólido a la temperatura de -124º C. Todas las moléculas quedan bloqueadas como en un sólido amorfo. La creencia de que sólo se pueden vitrificar pequeñas muestras es un mito.


P: ¿Cómo se puede revertir una vitrificación imperfecta?

R: Cualquier célula que haya sobrevivido a la congelación o a la vitrificación se ha recuperado de una preservación imperfecta. Las células sometidas a menos de -100º C entran en un estado singular en el que la mayor parte del agua de la célula se reemplaza por soluciones, las moléculas se deforman desde su formas originales e incluso las membranas celulares experimentan transiciones de fase. Tras una recuperación térmica y la eliminación del crioprotector, las células inician una autorreparación considerable antes de volver a operar con normalidad.

Una de las premisas de la criónica es la de que la autorreparación natural no es suficiente. De hecho, la criobiología ya ha comenzado a intervenir a nivel molecular en la muerte celular después de preservarse. Desde la década de 1960, los crionicistas vienen conceptualizando la mejora de la reparación celular mediante fármacos, enzimas sintéticas, virus y macrófagos. Estas ideas forman parte de una tradición biológica en la química de reacción-difusión que ahora se denomina "nanotecnología húmeda". En la década de 1980, en la tradición mecánica, se propuso un nuevo tipo de nanotecnología basada en el control posicional de las reacciones químicas. La utilidad de esta tecnología en criobiología se advirtió desde los primeros momentos.

Hoy día, el potencial en medicina de la nanotecnología, tanto húmeda como seca, se denomina "nanomedicina". Según el U.S. National Institutes of Health, la nanomedicina nos ofrecerá "dispositivos biológicos sintéticos" que podrían curar enfermedades y "reparar" las partes "deterioradas" de las células. Cualquier valoración científica honesta sobre la utilidad de la preservación a largo plazo, sean los gametos de una especie en peligro de extinción o de un ser humano completo, tiene que considerar el impacto de la tecnología futura.

¿Qué tecnología se espera exactamente? Puesto que la preservación puede mantenerse indefinidamente, incluso siglos, se debe considerar los límites de lo que es físicamente posible. Ya se sabe que, en principio, cada tejido y cada órgano del cuerpo puede regenerarse. La aplicación mas elegante de esta tecnología será la regeneración in situ de tejido dañado, incluyendo la regeneración de órganos o extremidades perdidas. Para el tratamiento de lesiones traumáticas severas es teóricamente posible que incluso un cuerpo entero pueda ser regenerado alrededor de un cerebro inconsciente mantenido en un fluido de soporte vital.

El cerebro debe ser reparado, no reemplazado. Si asumimos una nanotecnología madura entonces podemos proyectar estrategias de reparación muy sofisticadas como se detallan en las referencias siguientes. En el peor de los casos, es teóricamente posible escanear desde un ordenador la estructura molecular completa de un cerebro criopreservado para analizar y dirigir los procesos de reparación. Para una criopreservación en buenas condiciones con tecnología moderna sin fracturas deberían bastar formas menos extremas de reparación celular.

Referencias sobre reparación celular y nanomedicina

Técnico

- Molecular Repair of the Brain
- “Realistic” Scenario for Nanotechnological Repair of the Frozen Human Brain
- Nanomedicine Book Site

Descriptivo

- 24th Century Medicine (paradigma biológico)
- Engines of Healing (paradigma mecánico)
- Reversing Biostasis


P: ¿Qué representa la muerte clínica en criónica?

R: Teóricamente la muerte clínica no representa nada puesto que la circulación sanguínea y la respiración se pueden restablecer artificialmente cuando el corazón de un enfermo terminal deja de latir. En la práctica, los procedimientos criónicos para tratar la isquemia (detención de la circulación sanguínea) se diferencian bastante entre las organizaciones. Incluso para organizaciones como Alcor que abogan por una intervención agresiva, los factores logísticos y las limitaciones de apoyo cardiopulmonar durante el proceso de enfriamiento supone que todos los pacientes criónicos sufran algún daño isquémico cerebral. Idealmente, este daño puede limitarse al daño equivalente tras algunos minutos de isquemia a una temperatura corporal normal.

Es de sobra conocido que tras 4-6 minutos de isquemia normotérmica (paro circulatorio a temperatura corporal normal) se puede sobrevivir. Es menos conocido que protocolos experimentales que implican hipotermia post-resucitación, hipertensión y hemodilución pueden invertir sin daños considerables hasta 13 minutos de isquemia normotérmica. Otros protocolos que combinan fármacos con post-resucitación hipotérmica han revertido sin déficit neurológico 16 minutos de isquemia normotérmica en perros. Incluso una hora después de una isquemia normotérmica se ha revertido en gatos con sólo una pérdida hipocámpica y tejido estrital. E incluso es probable que esas perdidas fueran causadas por una muerte celular programada provocada por la isquemia más que por una destrucción aguda durante el intervalo isquémico.

El cerebro "muere" tras varios minutos sin oxígeno no porque se destruya inmediatamente sino por una cascada de procesos que lo avocan a la destrucción horas después del reestablecimiento de la circulación con sangre caliente. Restaurar la circulación con sangre fría en vez de caliente, reabriendo los vasos cerrados con alta presión evitando la oxigenación excesiva y bloqueando la muerte celular con fármacos puede prevenir esta destrucción. El uso clínico de estos procedimientos de laboratorio extenderán algún día la supervivencia a la isquemia cerebral mucho más allá de los 4-6 minutos actuales.

Confundir la criónica con la preservación de personas "muertas" es una mala interpretación de la realidad biológica. Es especialmente falso dado que la viabilidad ni siquiera es estrictamente necesaria para el objetivo actual de la criónica que es la preservación de la información neurológica. La situación biológica esta resumida excelentemente en el sitio web del National Human Neural Stem Cell Resource:

"Está bastante claro que la muerte definida clínicamente, que en la mayoría de estados es simplemente el cese de la actividad cardiaco-respiratoria, no significa que todas las células del cuerpo hayan muerto. Simplemente significa que las células necesarias para mantener la vida, las del músculo cardíaco y las del músculo del diafragma, ya no funcionan adecuadamente".


P: ¿Por qué a veces se intenta la criopreservación incluso tras varias horas de muerte clínica?

R: Los procedimientos criónicos comienzan idealmente restableciendo la circulación y la respiración en el momento del paro cardiaco. Si esto no es posible, la mayoría de las personas que opta por la criónica prefiere proceder con la criopreservación de todas formas. Esto está científicamente justificado por la buena apariencia general del tejido cerebral en micrografías electrónicas en las primeras horas de muerte clínica. Mucho de lo que se sabe actualmente sobre las enfermedades neurodegenerativas está basado en estudios histoquímicos de cerebros obtenidos horas después de la muerte clínica, por lo que claramente aún existe mucha información química. Las neuronas vivas pueden a veces incubarse hasta 4 horas , o incluso 8 horas tras la muerte clínica. Más información y referencias sobre los cambios cerebrales post-mortem están disponibles en este artículo y también en este otro. Esta información sugiere que en las etapas tempranas de lo que hoy consideramos muerte puede ser realmente un daño tratable. Esto no es porque la muerte sea reversible sino porque lo que hoy consideramos muerte, realmente no lo es. Más que una vuelta espontánea de las funciones, la muerte podría ser, en última instancia, determinada por el criterio teórico de información.

Existe una escuela de pensamiento que sostiene que la gente aparentemente muerta debería ser criopreservada como una cuestión de ética médica, a pesar del daño que puedan aparentar basado en el conocimiento actual. En otras palabras, a falta de una destrucción completa del cerebro, la muerte nunca debería suponerse. Obviamente, la criónica es difícil de falsar a través de esta definición, haciendo de esta interpretación algo más normativo que científico.


P: ¿En qué deberían estar de acuerdo todos los científicos sobre la criónica?

R: Hechos:

  • La criónica no se puede revertir con medios simples.
  • Aún no hay prueba definitiva de que la criónica puede preservar la memoria o la identidad personal a largo plazo.
  • El daño causado en un órgano por congelación puede evitarse si se elimina el agua suficiente y se reemplaza con un crioprotector.
  • Hay evidencia de una buena preservación estructural del tejido cerebral cuando antes del enfriamiento se introduce adecuadamente una concentración alta de crioprotector.
  • Las tecnologías capaces de caracterizar y manipular la materia con precisión atómica se deberán desarrollar en algún momento, y son implícitamente suficientes para la reversibilidad criónica si se preserva suficiente información neurológica.
  • La etiqueta legal de muerte es irrelevante para la criónica, excepto si se refiere a ciertos daños isquémicos cerebrales y al daño sobre la información esencial para la retención de la memoria y la personalidad.

P: ¿En qué pueden estar los científicos en desacuerdo respecto a la criónica?

R: Cuestiones de juicio y ética:

  • La probabilidad de que la memoria se preserve con las técnicas actuales.
  • La probabilidad de que tecnologías capaces de analizar, reparar y regenerar tejidos se desarrollen.
  • La utilidad de mantener el tiempo suficiente a personas criopreservadas para que se desarrollen dichas tecnologías.
  • La ética de criopreservar personas antes de demostrar que la criónica funciona.
  • La ética de no criopreservar personas hasta que se demuestre que la criónica funciona.




Página inicial | Contacte-nos | Equipa em Portugal